모야모야병은 두개 내 특정 혈관이 점차적으로 좁아지거나 막히면서 발생하는 만성 진행성 뇌혈관 질환입니다. 특히 어린 소아와 30~40대 성인에서 많이 발생하며, 적절한 치료가 이루어지지 않으면 뇌경색, 뇌출혈과 같은 심각한 합병증을 초래할 수 있습니다. 이번 포스팅에서는 모야모야병의 정의, 주요 원인, 증상, 진단 방법, 치료법, 그리고 생활 가이드를 상세히 살펴보겠습니다.

목차
- 모야모야병이란 무엇인가?
- 모야모야병의 주요 원인은 무엇인가?
- 모야모야병의 증상은 무엇인가?
- 모야모야병은 어떻게 진단되나요?
- 모야모야병의 치료 방법에는 무엇이 있나요?
- 모야모야병 환자를 위한 생활 가이드는 무엇인가요?
모야모야병이란 무엇인가?
모야모야병은 두개 내 내경동맥 끝부분에서 발생하는 만성 진행성 혈관 질환으로, 일본어로 "담배연기가 모락모락 올라가는 모양"을 뜻하는 '모야모야'라는 이름이 붙여졌습니다. 이 질환은 뇌혈관이 좁아지거나 막히면서 뇌로의 혈류가 감소하여 이상 혈관이 발달하게 됩니다. 소아와 성인 모두에게 발생할 수 있으며, 동아시아 지역에서 특히 발병률이 높은 특징을 보입니다.
Moyamoya Disease - Physiopedia
모야모야병의 주요 원인은 무엇인가?
모야모야병의 정확한 원인은 아직 밝혀지지 않았습니다. 그러나 유전적 요인이 중요한 역할을 한다고 알려져 있습니다. 특히, RNF213 유전자의 R4810K 다형성이 동아시아 모야모야병 환자에서 높은 빈도로 나타나는 것이 확인되었습니다. 감염이나 자가면역 반응이 혈관염을 유발한다는 가설도 있지만, 이를 뒷받침하는 명확한 증거는 없습니다.
2024.09.01 - [금융정보] - KB손보 다이렉트간편가입 실손의료비보장보험: 간편하고 효율적인 의료비 보장
KB손보 다이렉트간편가입 실손의료비보장보험: 간편하고 효율적인 의료비 보장
KB손보 다이렉트간편가입 실손의료비보장보험은 질병과 상해로 인한 의료비를 보장하는 간편한 가입 절차의 보험 상품입니다. 이 상품은 특히 복잡한 심사 과정 없이 가입이 가능하여, 건강 상
finance.kcd-data.com
모야모야병의 증상은 무엇인가?
모야모야병의 증상은 발병 연령에 따라 다릅니다. 소아의 경우 일과성 허혈발작이 가장 흔하게 나타나며, 울거나 격한 감정을 경험할 때 한쪽 팔다리의 힘이 빠지는 증상이 일시적으로 발생할 수 있습니다. 반면, 성인의 경우 뇌출혈이 초기 증상으로 나타날 가능성이 높습니다. 두통, 의식저하, 구역질 등의 증상도 동반될 수 있습니다.
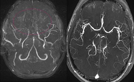
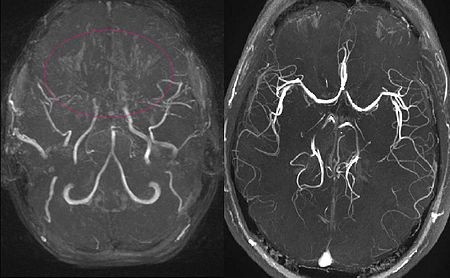
모야모야병은 어떻게 진단되나요?
모야모야병은 CT, MRI, MRA, 뇌혈관 조영술 등의 영상 검사를 통해 진단됩니다. 특히, 뇌 자기공명영상(MRI 및 MRA)은 초기 진단에 중요한 역할을 하며, 뇌혈류량 측정을 위해 관류 MRI나 다이아목스를 이용한 뇌스캔이 추가로 사용될 수 있습니다.
모야모야병의 치료 방법에는 무엇이 있나요?
모야모야병의 치료는 내과적 약물치료와 수술적 치료로 나뉩니다. 내과적 치료는 급성 뇌허혈 증상 완화를 목표로 하며, 수술적 치료는 정상 혈관과의 연결을 통해 뇌혈류를 증가시키는 데 중점을 둡니다. 주요 수술 방법으로는 직접 혈관 문합술과 간접 혈관 문합술이 있습니다. 소아 환자의 경우 간접 혈관 문합술이 흔히 사용됩니다.
모야모야병 환자를 위한 생활 가이드는 무엇인가요?
수술 후에는 두통이나 경미한 허혈 증상이 간헐적으로 나타날 수 있으므로 생활습관 관리가 중요합니다. 증상을 유발할 수 있는 뜨거운 음식 섭취, 과호흡을 유발하는 행동, 과도한 운동은 피해야 합니다. 또한, 충분한 수분 섭취와 적절한 휴식이 필요하며, 정기적인 의료 검진을 통해 상태를 모니터링해야 합니다.
'금융정보' 카테고리의 다른 글
| 한국 기업 신용등급 평가 : 절차와 방법, 그리고 평가 기준 (0) | 2025.01.31 |
|---|---|
| 증권시장안정펀드: 역사, 효과, 그리고 향후 방향성 분석 (0) | 2025.01.30 |
| 대상포진: 원인, 증상, 치료 및 예방 방법 (0) | 2025.01.14 |
| 당뇨병의 원인, 증상, 예방 및 치료 방법 (0) | 2025.01.13 |
| 2008년 금융위기의 원인과 파생상품의 영향: 서브프라임 사태와 미국 경제 변화 (3) | 2024.11.08 |